
FREE ONLINE TRAINING
FRENECTOMIES & SIMPLE GRAFTS FOR GENERAL DENTISTS
Common and predictable surgeries with massive patient value
Thursday, February 23rd at 5pm (Pacific)
In this free training, Beverly Hills periodontist, Dr. Ziv Simon will share his step-by-step soft tissue surgery techniques.
He will teach you how to execute effective frenectomies and how you can perform simple soft tissue grafts in your practice.
ADD YOUR NAME AND EMAIL TO REGISTER:
The webinar presented is for dental professionals only. After submitting your information, we will communicate with you about this webinar and other trainings. CE credits are not awarded for this webinar.
After submitting your information, we will communicate with you about this webinar and other trainings. We don't share your data.
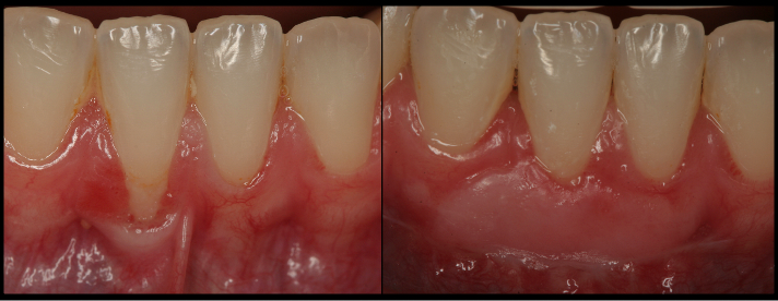
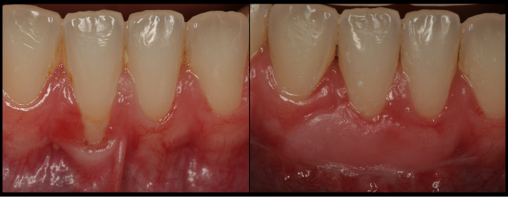
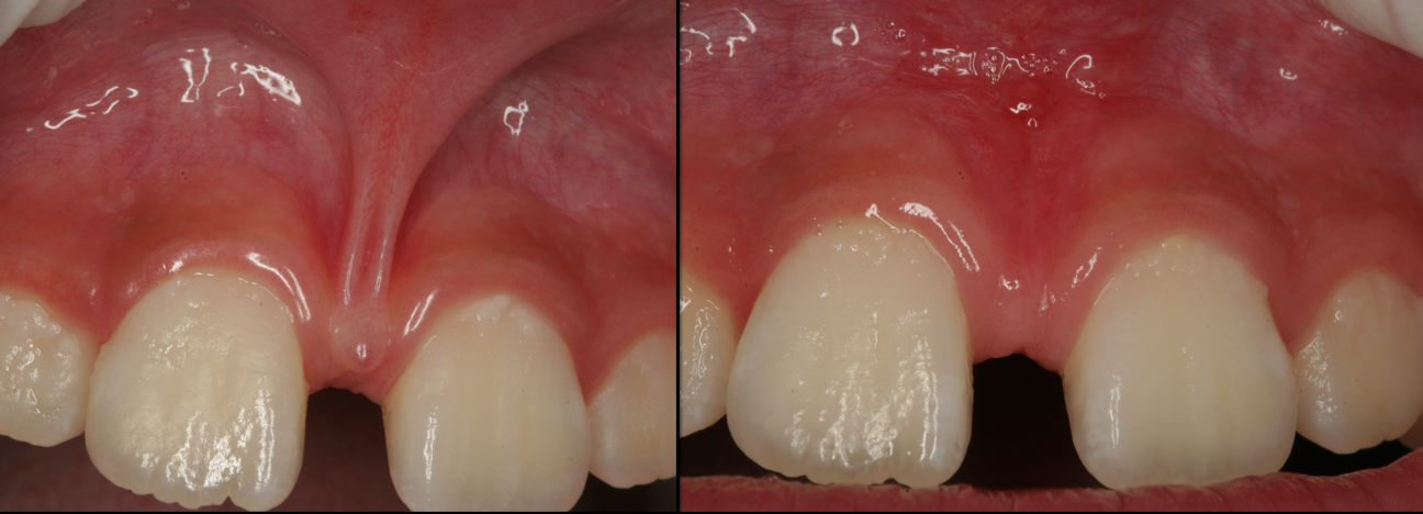
When you know how to perform soft tissue surgery, you can:
-
Cover receding roots and improve the esthetics and restorative outcomes.
-
Manage small and large frenum pulls.
-
Improve soft tissue for your implants and prevent peri-implantitis.
-
Create another growth center in your practice dedicated to grafting and other soft tissue procedures.
-
Offer more to your menu of treatments for your practice.
-
Be a well-rounded surgeon that focuses on soft tissue (where most dentists fail).
Ziv Simon, DMD, MSc
Diplomate, American Board of Periodontology & Implant Surgery
Ziv Simon is a periodontist practicing in Beverly Hills, California. He graduated the periodontal program at the University of Toronto and is double board in the US and in Canada. He is both a Diplomate of the American Board of Periodontology and Implant Surgery and a Fellow of the Royal College of Dentists of Canada. Dr. Simon teaches at the Ostrow School of Dentistry, University of Southern California and has lectured around the world on hard & soft tissue grafting, guided implant surgery and the most followed surgical educator online.
He is the co-founder of Surgicalmaster, the fastest growing surgical education platform in the world with over 100,000 dentists and thousands of doctors in mentorship programs. His goal is to empower dentists around the world to achieve success through surgical excellence and experience joy and fulfillment.

“Thanks for sharing the secret of the free gingival graft. It works always, it's simple, and it generates honest income while helping patients.
As a general dentist, I'm amazed at how few generalists perform this basic predictable procedure. I had great success both clinically and financially because of you...thank you for all of your help."
Dr. Jack Binder, Manhattan, NY
“Dr. Ziv Simon is the GP's best friend! He is committed to sharing his knowledge and experience.
He takes the mystery and challenges of surgical procedures and breaks them down to easy to follow steps so they can be incorporated into our own daily practices.”
Dr. Carl Werts, Glendale, CA
Learn How to Do Frenectomies & Simple Grafts
Common and predictable surgeries with massive patient value
Thursday, February 23rd at 5pm (Pacific)
Learn how to execute effective frenectomies and how you can perform simple soft tissue grafts in your practice.
THE TRAINING IS STARTING IN:
00
DAYS
00
HOURS
00
MINS
00
SECS