FREE ONLINE TRAINING HOSTED BY DR. ZIV SIMON,

The BEST Implant Flap Designs 

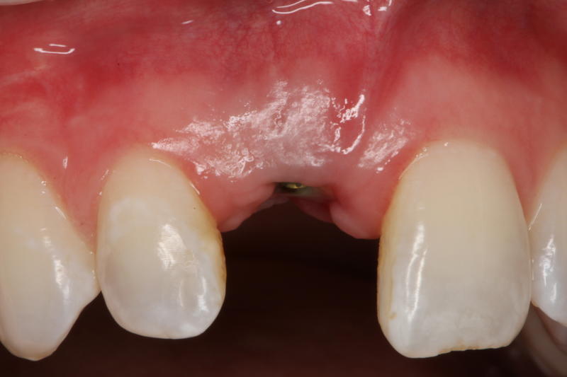
Learn what you need to know about incision outlines and flap designs for successful implant surgery

RESERVE MY SPOT
 

When to reflect a flap?

and when you place an implant with a punch approach?

How to preserve the papilla?

and what are the risks involved with loosing tissue?

How to change tissue quality?

and how to advance a flap to create more thickness?

Here are some of the topics you will learn about.

These are things you don't want to leave for chance or luck when you are placing implants

  • How much soft tissue is needed around implants and how to achieve that 

  • When to flap and when a flapless approach is a must

  • How to treat periodontal patients with advanced tissue loss

  • How to preserve the papilla to create crowns that look like normal teeth

  • How to graft the buccal of the implant to have an emergence profile of a natural tooth

  • How to graft the posterior mandible to get attached tissue for the health of your implants

  • How to avoid the greatest soft tissue pitfalls in implant surgery

Sign Up For Webinar Now

The BEST Implant Flap Designs

Close

50% Complete

Enter in your name and email to secure your spot for the FREE webinar 

 It's starting shortly!